Inman Aligner in Mernda at United Smiles
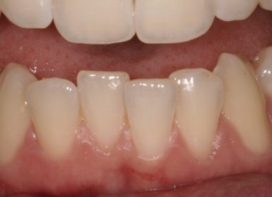
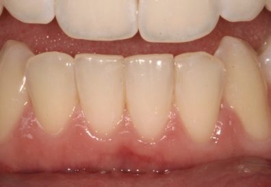
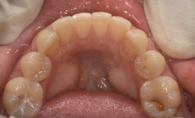
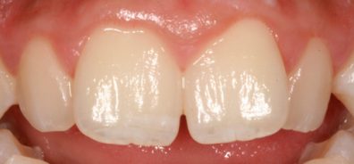
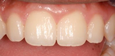
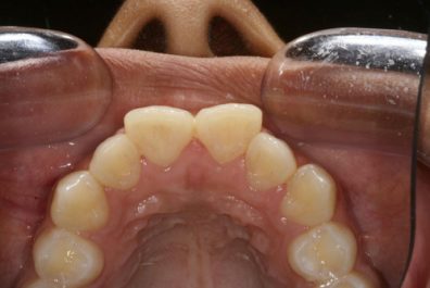
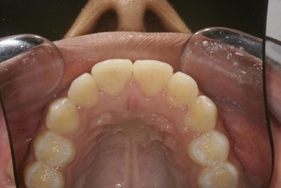
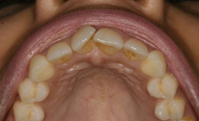
Are you looking for Inman Aligner certified dentist? Look no further. United Smiles is certified to provide the Inman Aligner as one of our orthodontic treatment services for our patients. In a matter of weeks, we help you get the smile of your dreams. Straighter teeth are healthier and more beautiful. With Inman Aligner, your oral health and general wellbeing will both improved.
For more information, contact your Mernda dentist today at United Smiles or make an appointment online to claim your FREE Consultation on Inman Aligner. Call us (03) 8682 8658 or visit your Mernda dentist today!











